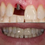
Implantes Dentários em Curitiba:
Implantodontia sem incisão com exames 100% digitais.
Para quem busca implantes mais confortáveis durante e no pós-operatório. Há 40 anos, a Castell é pioneira em tecnologia para implantes dentários com agilidade total na sua última dentição.

+10.354
Pacientes felizes
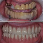
Implantes Dentários em Curitiba.
Implantodontia sem cortes com exames 100% digitais.
Para quem busca implantes mais confortáveis durante e no pós-operatório. Há 40 anos, a Castell é pioneira em tecnologia para implantes dentários com agilidade total na sua última dentição.

+10.354
Pacientes felizes
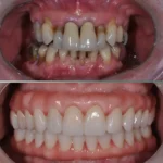
Implantes Dentários em Curitiba:
Implantodontia sem incisão com exames 100% digitais.
Para quem busca implantes mais confortáveis durante e no pós-operatório. Há 40 anos, a Castell é pioneira em tecnologia para implantes dentários com agilidade total na sua última dentição.

+10.354
Pacientes felizes
Como funcionam os implantes sem cortes?
Confira no vídeo a tomografia computadorizada do paciente com a mais alta tecnologia da odontologia moderna.
Máxima agilidade e previsibilidade.
Muitos pacientes de implantes enfrentam moldes desconfortáveis, múltiplas visitas e esperas intermináveis por resultados.
Em Curitiba, especialmente para pacientes com urgência e ritmo acelerado, isso significa perda de tempo e produtividade.
E se houvesse uma abordagem científica com tecnologia de ponta que priorizasse agilidade, precisão digital, previsibilidade, conforto e eficiência? Na Clínica Castell, transformamos essa realidade com tudo o que você precisa para o seu procedimento dentro da própria clínica.
Sem desconforto:
Moldes tradicionais podem causar náuseas e imprecisão.
Cuidamos do seu tempo:
Todo o processo integrado na própria clínica.
Tempo de espera:
Atendimento com pontualidade validando sua experiência premium.
Dúvidas com a qualidade:
Só usamos tecnologia de ponta e material da mais alta qualidade.
SOMOS A ÚNICA CLÍNICA EM CURITIBA COM
Tratamento totalmente digital
PARA IMPLANTES.
Abandonamos os moldes e aderimos a scanners intraorais de alta resolução.
Para garantir ainda mais agilidade temos na própria clínica um laboratório integrado, garantindo próteses personalizadas com resultado final preciso, 100% natural eliminando problemas e imperfeições. Todos os exames de diagnóstico, planejamento e produção são feitos na própria clínica reduzindo custos logísticos para o paciente, com muito mais conforto na cirurgia e pós operatório.
SOMOS A ÚNICA CLÍNICA EM CURITIBA COM
Tratamento totalmente digital
PARA IMPLANTES E PRÓTESES
Abandonamos os moldes primitivos e aderimos a scanners intraorais de alta resolução.
Para garantir ainda mais agilidade temos na própria clínica um laboratório integrado, garantindo próteses personalizadas com resultado final preciso, 100% natural eliminando problemas e imperfeições. Todos os exames de diagnóstico, planejamento e produção são feitos na própria clínica reduzindo custos logísticos para o paciente, com muito mais conforto na cirurgia e pós operatório.
40 Anos de excelência. Líder em tecnologia de implantes.




Dr. Marcelo Castellano | CRO 5435-PR | CLM 664-PR
Representou a ABO-PR em um encontro internacional sobre inovação na odontologia nos EUA. Com mais de 40 anos de experiência em implantes e protocolos e ministrando cursos de pós graduação na Associação Brasileira de Odontologia há 35 anos.
Fundou a Clínica Castell com o compromisso baseado na transparência e confiança, oferecendo sempre informação clara, orientação precisa, educação contínua e suporte humanizado em cada relacionamento com nossos pacientes.
O que nossos pacientes dizem sobre a Clínica Castell

Thais Goedert
Só posso agradecer pelo carinho e toda ajuda que tive pra conseguir realizar meu exame. As meninas da recepção foram extremamente importantes e queridas. Me senti em casa. Extremamente prestativas e atenciosas. O local é aconchegante e super bem localizado. Indico demais a clínica! Sempre que precisar, voltarei. Muito obrigada, de coração! 💖

Ricardo Schrappe
Atendimento sempre cordial, ambiente limpo e agradável, equipamentos modernos e ótimos profissionais. Sou cliente há mais de 15 anos.

Fabio Manzano
Estou dando 5 estrelas e meu filho ainda está na recepção. Só para se ter uma ideia do atendimento. Quando vc é bem atendido de cara na recepção, no trato inicial, pode estar certo de que o local é de muita qualidade e profissionalismo.

Luciane Bradash
A estrutura da clínica é ótima e o atendimento excelente e pontual. A Juliana da recepção é muito simpática, educada e solícita; o Dr. Vitor é tranquilo, atende com empatia e explica com detalhes todas as opções de tratamento, com valores acessíveis e várias opções de pagamento.
Nota 10!

Aline Magalhães
Pessoal, podem confiar de olhos fechados no atendimento dessa clínica. A equipe é extremamente atenciosa, educada e acolhedora. Desde o primeiro contato por telefone ou WhatsApp, passando pela recepção e pelo atendimento da Dr., até a sua saída, a experiência é excelente.

Gislaine Martins
Sou paciente há mais de 15 anos.
Todos os serviços da clínica são impecáveis! Os profissionais muito bem preparados, atenciosos e nunca nos deixam na mão!
Super indico!
Gratidão em especial ao Dr Marcelo Castelano! 🤗

Ana L. V. Ferreira
Clínica familiar, com várias especialidades odontológicas, então é possível conseguir um tratamento completo sem precisar pingar de clinica para clinica. O atendimento é super humanizado, detalhista, acolhedor! Os preços são justos! Quem me apresentou foi meu pai, eu já fiz e faço tratamento, e também já levei minha mãe, que passou por alguns traumas em profissionais anteriores e na Castell foi super bem tratada e teve seu problema solucionado! Recomendo muito!

Patrícia Blum
Recomendo de olhos fechados, clínica impecável e as atendentes são maravilhosas e super ágil no atendimento. Ótimos profissionais. Sucesso para Equipe de vocês 👏🏻 A Melhor de Curitiba

Larissa Botion
Tanto o atendimento e como o serviço foram excelentes. Marquei a consulta em virtude das avaliações e não me arrependi. Super indico.

Raphael Moller
Fazia tempos que não era atendido assim , desde o telefonema onde não sabiam quem era , e pessoalmente , fazendo o mais , parabéns pela empresa que tem uma profissional que veste a camisa e respeita as pessoas 👏👏👏 não sei o nome dela , mas faz tudo ali …
Raphael Moller Martins
Leonardo Baggio Moller
Victor de Castro Martins
Tem que elogiar nesse mundo de gente que não quer fazer a diferença

Natasha Weber
O atendimento na clínica foi excepcional, desde o momento em que entrei até o final. A equipe da recepção foi extremamente atenciosa e acolhedora, me fez sentir confortável desde o início, e no laboratório também, um alto nível de profissionalismo e cuidado. Fiquei profundamente impressionada com o atendimento prestado em todos os aspectos da clínica. Sem dúvida, é um lugar que eu super recomendo!

Marlene Schnepper
Atendimento ótimo, no horário e com funcionários sorridentes, ambiente confortável, preço acessível.
Muito satisfeita
Conheça a Clínica
A Clínica Castell é uma clínica odontológica de referência em Curitiba, Paraná, com mais de 40 anos de tradição e excelência nos resultados. Somos apaixonados por cuidar da saúde bucal de nossos pacientes e proporcionar a eles uma experiência única e personalizada.
Nossa missão é oferecer um atendimento odontológico de alta qualidade, com foco na prevenção, no diagnóstico preciso e no tratamento eficaz. Para isso, contamos com uma equipe de profissionais altamente qualificados e experientes, que estão sempre se atualizando com as últimas novidades da odontologia.
Na Clínica Castell, você encontra tudo o que precisa para cuidar da sua saúde bucal em um só lugar.







FAQ
Perguntas Frequentes
Tire algumas das suas dúvidas aqui mesmo. Caso não encontre a resposta para sua dúvida, entre em contato conosco pelo Whatsapp abaixo:
Com a tecnologia da Castell não dói. Para pessoas mais sensíveis a dor é mínima devido ao posicionamento dos implantes de forma prévia a cirurgia usando nossos softwares e mapeamento 3d.
Essa tecnologia de ponta traz muito mais conforto, inclusive no pós cirurgia.
Varia de acordo com cada paciente. Pode ser em um dia como pode levar 48, 72 horas e assim por diante.
Independente de cada caso, aqui na Castell é sempre mais rápido. Temos um laboratório próprio da clínica e todos os exames são feitos em um só local, agilizando muito todo o procedimento.
O investimento feito pelo paciente também varia a cada caso. Devido a alta tecnologia e toda a tradição que a clínica tem, oferecemos várias formas de pagamento com parcelamentos que tornando fácil o pagamento em uma das melhores clínicas de Curitiba com tecnologia de ponta, profissionais mestres e professores com especialização fora do Brasil.
Preencha o Formulário abaixo e agende uma consulta

-
Av. Pres. Getúlio Vargas, 2561
Água Verde, Curitiba - PR






